Oral Cancer Screening Delaware, OH
At Sexton Dental, we encourage you to schedule an oral cancer screening today. If you have not yet taken this life-saving measure, you should. Oral cancer is a disease not frequently discussed. There are few, if any, advertising campaigns, walks, or fundraisers supporting its treatment. Still, oral cancer claims one life every day in the United States. The reason for the high mortality rate is that most people do not seek medical help until the cancer has advanced. As with all forms of cancer, early detection and treatment are critical to the ability to be cured. Therefore, the sooner you know that you are at risk for cancer or are developing signs of it, the better your chances are of beating it.
Is it common to have an oral cancer screening?
Unfortunately, no. Most people never have an oral cancer screening, and this is why the cancer is not detected at an early stage. At our Delaware, OH dental practice, we suggest that you visit us for a screening right away if you have never received one. Otherwise, you can generally have this done bi-annually. If you live in or near the Delaware area, call (740) 363-2080 to schedule an appointment with our office.
What does an oral cancer screening entail?
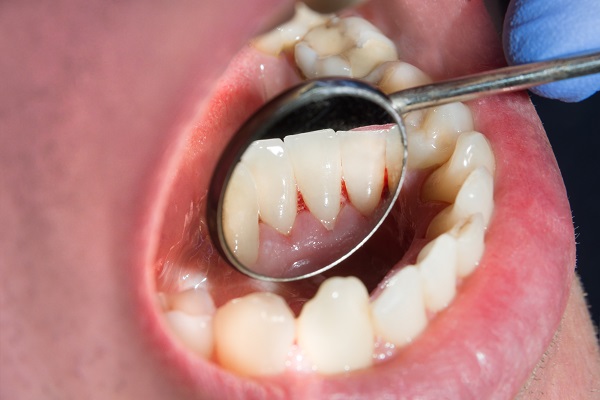
At Sexton Dental, we will look for signs of abnormal tissue. Typically, we will see visible symptoms like red and white bumps, hard lumps, rough patches, or changes in the position of your teeth. Much of the screening is done visually. However, we will also feel your cheeks and the inside of your mouth while wearing gloves. This is to identify whether or not you have any strange or hard lumps within this tissue. Remember, oral cancer can impact all areas of the mouth, so the examination must be thorough. Since technology is constantly improving, we may use other testing resources when you come in and will be happy to discuss the process with you when you visit our dental office. We guarantee that the test is gentle and that you should feel comfortable during it.
How frequently should I have an oral cancer screening?
We recommend that you visit our Delaware, OH dentist office for your first exam. Based on your risk factors and what we see, we will let you know how frequently you need an examination. If you are a high-risk patient, we may suggest annual screenings.
Check out what others are saying about our oral cancer screening services on Yelp: Oral Cancer Screening Delaware
Who is susceptible to getting oral cancer?
The common misconception is that only older men get oral cancer. It used to be that men got oral cancer at a 10:1 ratio to women. Over time, the statistics have changed, most likely because the habits of men and women are now more similar. With more women drinking alcohol and smoking, the published ratios are now 2:1. Recently, medical research has proven that some strains of the HPV virus also cause oral cancer. This has changed the way we look at this cancer and who we need to screen for it. The HPV virus can be contracted as early as the teenage years, meaning that both men and women, seniors and teens, could come down with this terrible disease. We recommend that all adults be screened for oral cancer. However, if you smoke, drink alcohol, or know you have the HPV virus, you should be particularly diligent about doing so.
Do you treat oral cancer?
No, at Sexton Dental, we do not treat oral cancer. We help to catch it. When it comes to cancer, early detection is of critical importance. It can literally save your life. Since we are the most familiar with how your mouth looks normally, we are prepared to identify any abnormalities. If we see anything that looks like pre-cancer or cancer, we will may perform a biopsy. This is where a portion of the tissue is taken from your mouth for further testing. In some cases, we may refer you directly to an oncologist in the Delaware area so they can perform further tests and then discuss treatment options with you.
When to call us:
You can be the first line of defense when it comes to catching oral cancer. We recommend that you spend a few seconds examining your mouth after brushing your teeth. All you need to do is run your tongue along your cheeks, gums, and the roof of your mouth. If you notice any rough patches, lumps or bumps, make note of it. Do the same thing a few days later. If what you felt was the result of being sick or eating food that was too abrasive, it should go away after a few days. When it doesn't, you need to call our office for an oral cancer screening and examination. The other thing to watch for is teeth that move for no particular reason. If they are pushed out of place, something must have been pushing them. Occasionally, that something is cancer.
How can I prevent oral cancer?
The most important thing you can do for decreasing your risk is to stop chewing smokeless tobacco products. This is the biggest historical risk for developing oral cancer. While it is better for your lungs than smoking cigarettes, it can increase your risk for oral cancer by 60 times! You should also stop smoking all tobacco products and limit how much alcohol you drink. It does not appear that alcohol in limited quantities is dangerous, but if you drink regularly or binge drink, you are at a greater risk. You also need to limit your sun exposure and prevent sunburns whenever possible. As for the HPV virus, you should speak with your general physician to find out if you are a candidate for the vaccine. You may also want to be tested to find out if you already have the virus.
Call Us Today
Regular oral cancer screenings can save your life. If you live in Delaware, OH, we encourage you to call 740-363-2080 and schedule an appointment with our dental office today.
Questions Answered on This Page
Q. What happens during an oral cancer screening?
Q. Do you provide treatment for oral cancer?
Q. Is there anything I can do at home to help prevent oral cancer?
People Also Ask
Q. What do I need for a dental checkup?
Definition of Dental Terminology
- Biopsy
- A biopsy is a medical test that a medical professional uses to extract a sample of tissue to determine the exact cause of a disease.
- Dental Checkup
- A dental checkup is an appointment that involves cleaning the teeth, identifying any signs of infection and removing said signs of infection at least once every six months in the office.
- Dental Prophylaxis
- A dental prophylaxis is a professional and detailed cleaning that involves the removal of plaque, calculus and stains from the teeth.
- Dentist
- A dentist, also known as a dental surgeon, is a doctor who specializes in the diagnosis, prevention, and treatment of diseases and conditions of the oral cavity.
- Dysphagia
- Dysphagia is the difficulty or discomfort hat one can experience when swallowing due to this disease.
- Gingivitis
- Gingivitis is the inflammation of gum tissue that results from plaque, other infections in the mouth and poor oral hygiene.
- Oral Cavity
- The term oral cavity is another name for the mouth, including the lips, cheeks, gums, teeth, the front of the tongue and the roof of the mouth.
- Oral Mucosa
- The oral mucosa is the mucous membrane that lines the inside of the mouth consisting of oral epithelium and lamina propria.
- Oral Squamous Cell Carcinoma
- Oral squamous cell carcinoma is a common form of oral cancer that occurs within the mouth, which can also result from excessive smoking and alcohol use.
- Otalgia
- Otalgia is a type of earache that can result from multiple causes, including oral health issues and infections.
- Precancerous Lesions
- Precancerous lesions are morphologically altered tissue that has a high probability of causing oral cancer to occur in those specific spots.
- Preventive Dentistry
- Preventive dentistry is the dentistry that focuses on maintaining oral health in order to prevent the spread of plaque, the formation of tartar and infections in the mouth.
- Tartar
- Tartar forms when plaque builds up on the surface of the teeth and calcifies into a hard surface that is much more difficult to remove and will require professional treatment.
- Tobacco Use
- Tobacco use can cause significant problems for one’s overall oral health including staining and promoting certain infections.
Back to top of Oral Cancer Screening




